PEER REVIEWED
Non-Arteritic Ischemic Optic Neuropathy with Serous Macular Detachment
Jill Gottehrer, OD, FAAO, and Joseph Gallagher, OD, FAAO
Abstract
Non-arteritic ischemic optic neuropathy (NAION) is caused by hypoperfusion of the optic nerve. This case report describes a patient who was suspected to have NAION confirmed by funduscopic examination, automated visual field testing, optical coherence tomography of the macula and optic nerve and laboratory testing. This case is atypical in that the patient experienced a concomitant serous macular detachment, which does not usually present concurrently with NAION.
Key Words: non-arteritic ischemic optic neuropathy, optic nerve, macula, optical coherence tomography
Background
Non-arteritic ischemic optic neuropathy (NAION) is an ocular condition that typically presents in individuals age 40-60 with unilateral, painless vision loss, mostly upon awakening. There are 1,500 to 6,000 new cases in the United States every year.1 NAION is typically diagnosed based on its clinical features with the aid of ancillary testing. We present a case of NAION with concurrent serous macular detachment in a 68-year-old male. We review the clinical presentation, ancillary testing, differential diagnosis and potential complications of NAION. The intended audience is third-and fourth-year optometry students, optometry residents and current practitioners.
Case Report
A 68-year-old Caucasian male presented to the eye clinic on referral by his primary care physician. His chief complaint was blurry vision in his left eye with being unable to see the inferior half of his visual field for approximately two weeks. He denied concurrent symptoms such as jaw claudication, scalp tenderness, malaise, fever and weight loss. The patient reported having cataract surgery in both eyes two months prior with no postoperative complications and greatly improved vision. His medical history was significant for hypertension, benign hypertrophy of the prostate, esophageal reflux, hiatal hernia, eczema and personal exposure to Agent Orange. His current medications included lisinopril 40 mg once daily in the morning, omeprazole 20 mg once daily and aspirin 325 mg once daily. The patient denied having any allergies.
Unaided visual acuity measured 20/20 OD and 20/150 OS with eccentric fixation. There was no improvement in visual acuity in the left eye with refraction. Refractive error was -0.25 D in the right eye and plano in the left eye. Cover test revealed orthophoria at distance and near without correction. Extraocular muscle movements were smooth, accurate, full and extensive. Confrontation visual field using fingers was full in the right eye and indicated an inferior defect in the left eye. Pupils were equal, round and reactive to light, and a 1+ afferent pupillary defect was observed in the left eye.
The anterior segment was examined by slit lamp biomicroscopy. Lids, lashes, conjunctiva, sclera, cornea and iris were clear OU. Intraocular pressure measured with non-contact tonometry at 2:44 p.m. was 17 mmHg OD and OS. The pupils were dilated with one drop each of tropicamide 1% and phenylephrine 2.5% in each eye.
The posterior segment was examined with a slit lamp biomicroscope with a 90D lens and a binocular indirect ophthalmoscope with a 20D lens. Each eye exhibited a well-centered posterior chamber intraocular lens. The vitreous of both eyes showed mild syneresis.
The posterior pole of the right eye revealed a healthy optic nerve with cup-to-disc ratio of 0.15 with well-perfused rim tissue. The macula appeared normal. The vessels of the right eye had an artery-to-vein ratio of 2/3 with mild tortuosity. The periphery of the right eye showed a chorioretinal scar superior-temporal and inferior-temporal in a circinate-like pattern.
The posterior pole of the left eye revealed a full optic nerve with no visible cupping and 3+ edema with flame-shaped hemorrhages on the temporal edge of the disc. It also showed mild edema in the macula. Additionally, the vessels had an artery-to-vein ratio of 1/3 with mild tortuosity and crossing changes superior-temporal. The periphery of the left eye was unremarkable 360 degrees.
A Humphrey 24-2 visual field test was performed (Figure 1). The right eye showed a shallow cluster of adjacent points inferior-nasal, inferior crossing midline and inferior-temporal, almost like an arcuate pattern. The left eye showed an inferior altitudinal defect.
Optical coherence tomography (OCT) of the optic nerves (Figure 2) and macula (Figure 3) was acquired using a Spectralis OCT. Additionally, fundus photos were taken using a Zeiss camera (Figure 4). In addition, the patient was sent for lab work after his eye examination to rule out conditions such as giant cell arteritis. Both CRP and ESR were ordered by the optometry clinic. A carotid duplex scan and HbA1c were ordered by the primary care physician. The results of the CRP and ESR came back later that day as normal.
![]() Figure 1. Sita Standard Humphrey visual field testing at the initial visit shows no defects OD (left) and an absolute inferior altitudinal defect OS (right). Click to enlarge |
![]() Figure 2. Spectralis OCT imaging of the retinal nerve fiber layer at the initial visit shows no optic nerve head edema OD (left) and peripapillary edema OS (right). Click to enlarge |
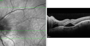
![]() Figure 3. Spectralis OCT imaging at the initial visit shows serous macular detachment OS. Click to enlarge |
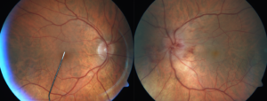
![]() Figure 4. (left): Fundus photography at the initial visit shows a normal appearance OD (left) and optic nerve head edema with flame-shaped hemorrhages and macular edema OS (right). |
The patient was diagnosed with presumed NAION with serous macular detachment in the left eye. He was instructed to take his blood pressure medication in the morning, with his primary care physician’s approval, to try to lower the risk of recurrence. He was referred to a retinal specialist for evaluation of the serous macular detachment.
Education Guidelines
Learning objectives
At the end of the case discussion, participants should be able to:
- List the differential diagnoses of NAION
- Explain how to appropriately diagnose NAION
- Describe the pathophysiology and risk factors associated with NAION
- Understand treatment and management of NAION
- Discuss the expected prognosis and complications for patients diagnosed with NAION
Key concepts
- Ocular signs and symptoms of NAION
- Systemic and ocular causes of NAION
- Pathophysiology of NAION
- Treatment and management of NAION
Discussion questions
1. Knowledge and concepts required for critical review of this case:
a. Describe the epidemiology, pathophysiology and risk factors associated with NAION
b. Describe the key clinical findings in patients with NAION
2. Differential diagnosis:
a. Characteristic signs of NAION
b. List appropriate differential diagnoses for NAION
3. Disease treatment and management:
a. What is the standard of care to treat a patient with NAION?
b. Discuss the most likely prognosis and possible complications following treatment of a patient with NAION
c. What is the appropriate follow-up schedule of a patient with suspected and confirmed NAION?
d. Which specialist(s) should be involved in the care of a patient with NAION?
4. Patient education:
a. How would you educate the patient regarding the suspected diagnosis?
5. Critical thinking:
a. How would you have managed this case? Justify your answer based on the findings.
b. What would have been a sign of poor prognosis?
Teaching Instructions
This case report can be taught using a problem-based-learning (PBL) methodology. The discussion points can be used to facilitate discussion and achievement of the learning objectives as outcome measures. In either a large- or small-group setting, participants should be presented with sections of the case. For example, case history can be presented in its entirety or as a role play, while students ask the facilitator relevant case history questions. Students would then be tasked with developing differential diagnoses and collecting data sufficient for ruling out each differential. The case would proceed in traditional PBL format with analysis of data, determination of a diagnosis and determination of a management plan supported by evidence-based decision-making. Additional discussion may involve a review of information contained in the literature search and discussion of the use of other clinical testing not mentioned in this case report.
Describe the epidemiology, pathophysiology and risk factors associated with NAION
Males and females are affected equally with NAION. It tends to affect Caucasians more than any other race. NAION is caused by reduced perfusion to the optic nerve. A decrease in autoregulation occurs and affects those with a “disc at risk” or a small, crowded optic nerve resulting in axonal degeneration and loss of retinal ganglion cells via apoptosis.2 Another ocular risk factor is optic nerve head drusen. Common systemic risk factors for this occurrence include diabetes mellitus, hypertension, migraines, obstructive sleep apnea, hyperlipidemia and arteriosclerosis. Taking blood pressure medication at night can lead to nocturnal hypotension and thus hypoperfusion of the optic nerve.3 Systemic phosphodiesterase 5-inhibitors4 and amiodarone4 have also been linked to NAION, although the link is controversial.
Describe the key clinical findings in patients with NAION
NAION and arteritic ischemic optic neuropathy (AION) may present similarly with sudden vision loss and a positive afferent pupillary defect. Although the vision is typically worse in patients presenting with AION, on fundoscopy the nerve is also swollen, and will exhibit pallor, with flame-shaped hemorrhages and cotton wool spots. Therefore, case history is important. The patient should be asked about recent temporal headaches, jaw claudication, malaise, fever and weight loss. AION can cause loss of vision or loss of life; therefore, it is imperative to perform lab tests including ESR, CRP, CBC and, if necessary, temporal artery biopsy to differentiate from NAION.
Characteristic signs of NAION
Visual acuity can range from 20/40 to 20/70 on presentation. Additional evaluation to aid in diagnosis includes careful examination of the pupils, visual field testing and OCT. Often a new afferent pupillary defect is present. In addition, a visual field test will show a classic altitudinal defect in the affected eye. Most commonly this impacts the inferior half of the visual field. OCT is quite beneficial as it can show the amount of swelling to the optic nerve at initial presentation and help monitor changes as the swelling decreases. Fundus photography can also be useful in monitoring changes to the appearance of the optic nerve as the edema resolves. Color vision testing/red cap desaturation does not aid in the clinical diagnosis of NAION; however, it may be performed if the patient reports new color vision changes.
NAION primarily comes in two forms: non-progressive and progressive. With non-progressive NAION, there is a sudden decrease in visual field and visual acuity, which stabilizes. With progressive NAION, there is a sudden decrease in visual field and visual acuity followed by a further decline approximately three weeks later. This is seen in approximately 30% of cases.
List appropriate differential diagnoses for NAION
- AION: Must be ruled out, as this is a sight-threatening and life-threatening condition. The patient in this case denied symptoms including scalp tenderness and jaw claudication, but blood tests can help exclude this diagnosis.
- Posterior ischemic optic neuropathy: Although this patient has monocular vision loss with a positive afferent pupillary defect, there is visible damage to the optic nerve, which excludes this diagnosis.
- Hypertensive retinopathy: This patient’s systemic history is positive for hypertension; however, it was not highly elevated at the time of his examination. Fundus examination did not show hemorrhaging or cotton wool spots extending into the peripheral retina.
- Central retinal vein occlusion: Although a cause of unilateral, acute vision loss, hemorrhages are generally seen beyond the peripapillary area. Additionally, the retinal veins are dilated and tortuous.
- Branch retinal vein occlusion: Can also be a cause of unilateral, acute vision loss. However, the optic nerve is typically not involved.
- Optic nerve infiltration: This is a cause of unilateral optic nerve head edema. However, in this case, there was absence of other systemic associations, such as lymphoma. This also does not typically cause flame-shaped hemorrhages to the optic nerve.
- Optic nerve/orbital tumors: A differential of unilateral optic nerve head edema. This also does not typically cause an altitudinal visual field defect.
- Foster Kennedy syndrome: Unlikely as the patient’s fellow optic nerve is not atrophic. Also, the patient displayed no unusual behavioral symptoms.
- Optic neuritis: Less likely given the patient’s age and gender. The exam findings, such as normal extraocular eye movements, help exclude this diagnosis.
- Leber’s optic neuropathy: This does not fit the patient demographic as it is typically seen in young men. Additionally, it begins unilaterally then becomes bilateral.
- Optic disc drusen: The disc itself in this case is not actually swollen and the surrounding nerve fiber layer is normal. A B-scan could help aid in this diagnosis by finding buried optic disc drusen.
- Graves’ disease: Can cause optic nerve compression due to thickened extraocular muscles. This is the opposite of the patient’s ocular presentation. Also, there was a lack of ocular signs/symptoms including diplopia, lid retraction and lid lag.
What is the standard of care to treat a patient with NAION?
There is no treatment for NAION. In a study by Hayreh, improvement in visual acuity with systemic corticosteroids was demonstrated by reducing optic nerve head edema by reducing capillary permeability.6 However, due to the lack of randomization in this study, it is not widely accepted.
In the Ischemic Optic Neuropathy Decompression Trial, which followed 250 patients with NAION from October 1992 to October 1994, optic nerve decompression was found not only to be of no benefit to those with NAION but harmful as well.7
Discuss the most likely prognosis and possible complications following treatment of a patient with NAION and the appropriate follow-up schedule of a patient with suspected and confirmed NAION
Patients tend to recover 2-3 lines of visual acuity on their own in 6-8 weeks. There is no recovery of the visual field defect.8
Which specialist(s) should be involved in the care of a patient with NAION?
NAION should be handled by a multidisciplinary team: the eyecare provider to make the diagnosis and an internist to order laboratory tests and determine if it’s safe for the patient to take his or her blood pressure medication at nighttime.
A serous macular detachment is an unusual finding with NAION; therefore, referral to a retinal specialist should be made. The edema from the optic nerve can seep into the macula, causing this occurrence. A macular OCT can capture this finding as well as changes as the patient recovers. A study performed in 2008 by Thomas R. Hedges, MD, et al. showed 8 of 76 patients had subfoveal fluid from NAION captured on macular OCT. In these patients, the macular fluid subsided with no intervention as the optic nerve healed on its own, thus patients can gain some lines of visual acuity.10 A few case reports have described successful use of anti-VEGF injections to decrease macular fluid and improve vision in NAION. Anti-VEGF injections may also reduce optic nerve edema to promote faster recovery.11
How would you educate the patient regarding the suspected diagnosis?
Because the risk of NAION occurring in the fellow eye is 15-20%,9 it is crucial to advise patients to reduce systemic risk factors such as smoking, diabetes, hypertension and hyperlipidemia. In addition, it’s recommended that patients take their blood pressure medication during the day if possible in order to reduce nocturnal hypoperfusion. Daily aspirin is also recommended.9
Discussion
The patient in this case report was diagnosed with NAION based on his ocular symptoms, signs, systemic history, ancillary testing and laboratory tests. His age (68) and acute painless vision loss excluded some differential diagnoses such as Leber’s optic neuropathy and optic neuritis. Pupil testing and the observation of a positive afferent pupillary defect were key as they helped indicate the presence of retinal ischemia. Dilated fundus examination was possibly the most important component in this case as it showed the retinal findings, narrowing the list of differential diagnoses. The patient’s systemic history of hypertension and small cup-to-disc ratio in the right eye (0.15) were hints that NAION was causing his symptoms. Another crucial component in this diagnosis was the ancillary testing. The altitudinal visual field defect was another clue that the patient’s symptoms were caused by NAION. However, AION could not be excluded without the appropriate laboratory tests. With CBC, CRP and ESR all revealing normal results, the final diagnosis was NAION.
Conclusion
Patients affected by NAION should be monitored carefully. Aside from the appropriate ancillary testing to confirm the diagnosis, lab work should be done urgently to rule out AION. In addition, thorough patient education and appropriate management are needed to reduce systemic risk factors and the likelihood of NAION development in the fellow eye. When serous macular detachment accompanies NAION, referral to a retinal specialist for anti-VEGF injection should be considered. Anti-VEGF injection may reduce macular and optic nerve edema.
References
- Hattenaheuer MG, Leavitt JA, Hode DO, Grill R, Gray DT. Incidence of nonarteritic anterior ischemic optic neuropathy. Am J Ophthalmol. 1997 Jan;123(1):103-7.
- Arnold AC, Miller NR, Newman NJ, Biousse V, et al., editors. Ischemic optic neuropathy. Clinical Neuro-Ophthalmology. 6. Vol. 1. Philadelphia: Lippincott, Williams & Wilkins; 2005. pp. 349-384.
- Arnold AC. Pathogenesis of nonarteritic anterior ischemic optic neuropathy. J Neuroophthalmol. 2003 Jun;23(2):157-63.
- Murphy MA, Murphy JF. Amiodarone and optic neuropathy: the heart of the matter. J Neuroophthalmol. 2005 Sep; 25(3):232-6.
- Lee AG, Newman NJ. Erectile dysfunction drugs and nonarteritic anterior ischemic optic neuropathy. Am J Ophthalmol. 2005 Oct;140(4):707-8.
- Hayreh SS, Zimmerman MB. Non-arteritic anterior ischemic optic neuropathy: role of systemic corticosteroid therapy. Graefes Arch for Clin Exp Ophthalmol. 2008 Jul;246(7):1029-46.
- Newman NJ, Scherer R, Langenberg P, Kelman S, Feldon S, Kaufman D, Dickersin K. The fellow eye in NAION: report from the ischemic optic neuropathy decompression trial follow-up study. Ischemic Optic Neuropathy Decompression Trial Research Group.
- Hayreh SS. Ischemic optic neuropathy. Prog Retin Eye Res. 2008;27(6) Epub ahead of print.
- Newman NJ, Scherer R, Langenberg P, et al. Ischemic Optic Neuropathy Decompression Trial Research Group. The fellow eye in NAION: report from the ischemic optic neuropathy decompression trial follow-up study. Am J Ophthalmol. 2002 Sep;134(3):317-28.
- Hedges TR, Vuong LN, Gonzalez-Garcia AO, Mendoza-Santiesteban CE, Amaro-Quierza ML. Subretinal fluid from anterior ischemic optic neuropathy demonstrated by optical coherence tomography. Arch Ophthalmol. 2008;126(6):812-15. doi:10.1001/archopht.126.6.812.
- Bennett JL, Thomas S, Olson JL, Mandava N. Treatment of nonarteritic anterior ischemic optic neuropathy with intravitreal bevacizumab. J Neuroophthalmol. 2007 Sep;27(3):238-40.





