PEER REVIEWED
An Incidental Case of Bilateral Multifocal Retinal Pigment Epithelial Detachments in a Patient with Post-Traumatic Stress Disorder
Catherine Tsang, OD, Justin Simbulan, OD, and Bhagya Segu OD, MPH, FAAO
Abstract
Bilateral multifocal retinal pigment epithelial detachments are rarely observed even in the elderly population.1,2 Consequently, current literature discussing this retinal presentation and underlying pathophysiology is limited. This report details the history and management of a patient who presented to our clinic with these incidental retinal findings. Potential etiologies, including post-traumatic stress disorder, and the outcome of this patient’s treatment course with an anti-vascular endothelial growth factor agent are also explored.
Key Words: pigment epithelial detachments, bilateral PED, post-traumatic stress disorder, PTSD, anti-vascular endothelial growth factor, anti-VEGF
Background
Pigment epithelial detachment (PED) results from separation of the basal layer of the retinal pigment epithelium (RPE) and the innermost layer of Bruch’s membrane.2-4 They are most commonly associated with age-related macular degeneration (AMD) but also present in polypoidal choroidal vasculopathy (PCV),5 hypertensive choroidopathy and conditions that lead to inflammation and ischemia of the choroid, such as Vogt-Koyanagi-Harada disease (VKH).2,4,6 In addition to hypertension and VKH (a rare autoimmune condition that causes inflammation of multiple organ systems), other systemic associations include renal disease, systemic lupus erythematosus, sarcoidosis and leukemia.4 Multifocal PEDs are characterized by numerous retinal patches of separated RPE and Bruch’s membrane. They are rare but have been proposed to be a variant of central serous retinopathy (CSR). Because affected patients often remain asymptomatic when these lesions are located extrafoveally, they can be monitored without treatment.1,2 When associated subretinal fluid (SRF) is present with the PED, however, intravitreal anti-vascular endothelial growth factor (anti-VEGF) injections, which suppress new retinal blood vessel growth and permeability, are more readily considered a treatment option. Here, we explore a case of bilateral, extrafoveal, multifocal PEDs by discussing etiological and pathophysiological mechanisms involved and management strategies for the eyecare provider. The objective of this report is to provide fourth-year optometry students an example of an atypical retinal case, as not all patients encountered in the clinical setting present with classic, textbook findings and may be managed differently between clinicians.
Case Description
History
A 73-year-old African American male presented to our clinic with a chief complaint of blurry vision OS without correction. Other than diagnoses of myopia and cataracts OU at his last eye exam three years prior, his ocular history was unremarkable. The patient’s medical history included controlled hypertension and a psychiatric diagnosis of post-traumatic stress disorder (PTSD) since 1999. His mental health notes described him as having poor sleep, nightmares, feelings of isolation and paranoia, but the specific experience that contributed to a diagnosis of PTSD, a mental health condition rooted in a past traumatic or life-threatening event, was unknown.7 Furthermore, this patient’s active problem list included alcohol abuse, which is consistent with clinical documents that described him as a “heavy drinker” who was charged with at least three driving offenses for operating a vehicle while intoxicated. He was not taking any medications other than those prescribed for hypertension, and he reported no known drug allergies.
Examination findings
The patient was correctable to 20/20 OD and 20/60 OS, which improved to 20/40 with pinhole. His best-corrected visual acuity (BCVA) was 20/20 in each eye at his last eye exam. Pupils were round and reactive to light and did not exhibit a relative afferent pupillary defect. Extraocular motilities, confrontation visual fields and alternating cover test were all normal. Intraocular pressures measured by Goldmann applanation tonometry were 17 mmHg OD and 15 mmHg OS.
Slit lamp exam revealed a 1+ nuclear sclerotic cataract OD and a 3+ nuclear sclerotic cataract OS, which was the cause of reduced vision OS. All other anterior segment findings were unremarkable. Healthy optic nerves with cup-to-disc ratios of 0.45 OD and 0.50 OS were assessed on fundoscopy. Additionally, several well-delineated, round, orange-reddish posterior pole lesions were observed OU, but were more pronounced OD. These lesions appeared subretinal and extrafoveal and were not associated with other retinal findings.
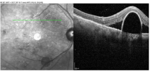
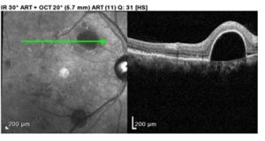
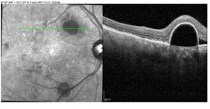
Optical coherence tomography (OCT) images were acquired OU. While center macular thickness, measuring 248 microns OD and 238 microns OS, and foveal contour were normal OU, multiple extrafoveal PEDs corresponding with the lesions noted on fundoscopy were visualized on the scans. Of note was a large PED with overlying SRF that was approximately 0.75 disc diameters in size and located superonasal to the macula OD (Figures 1 and 2). An additional PED of approximately the same size was present just inferior to the macula, and a third, smaller PED was visualized temporal to the macula OD. OS images revealed a few small PEDs in the superior, inferior and temporal macula, none of which were associated with SRF (Figure 3). All PED findings on OCT were consistent with serous PED, which typically appears dome-shaped and well-delineated with an elevated, hyper-reflective RPE overlying a hyporeflective and optically empty space.2,8,9
![]() Figure 1. Optical coherence tomography scan and gray-scale image of pigment epithelial detachment with surrounding subretinal fluid in the right eye. |
![]() Figure 2. Larger gray-scale image of the right posterior pole. The dark, round lesions are the pigment epithelial detachments noted on exam and confirmed with optical coherence tomography. Click to enlarge |
![]() Figure 3. Gray-scale photo of the left posterior pole. Fewer pigment epithelial detachment lesions are evident in this image. They also appear more faint compared with the pigment epithelial detachments in Figure 2. Click to enlarge |
Treatment
Although asymptomatic patients with PED that spares the fovea can be monitored without treatment, the retinal specialist consulted in this case recommended a monthly series of anti-VEGF injections for the right eye due to the associated SRF. The presence of SRF was suggestive of underlying RPE decompensation that allowed fluid entry into subsensory space, which placed the patient at higher risk for visual compromise.10 Consequently, he was treated at his first and second follow-up visits, after which SRF in the right eye nearly completely resolved (Figure 4). The underlying PED also exhibited a reduction in height. During his last scheduled injection appointment, however, recurrence of SRF over the superior PED was noted (Figure 5). Given re-emergence of SRF, the patient’s treatment schedule was altered from an original treat-and-extend regimen, which would have lengthened follow-up intervals to longer than one month, to two additional monthly injection visits.
![]() Figure 4. Optical coherence tomography of the right posterior pole with raster scan of the superior pigment epithelial detachment showing resolved subretinal fluid after two anti-vascular endothelial growth factor injections. Click to enlarge |
![]() Figure 5. Optical coherence tomography scan showing recurrent subretinal fluid nasal to the superior pigment epithelial detachment after four anti-vascular endothelial growth factor injections. |
Educational Guidelines
Key concepts
- Patients with PED do not always present with symptoms; therefore, careful fundus examination is necessary for detection of pathology
- Obtaining a thorough medical history is important in atypical cases of PED
- Specific characteristics of PED on OCT can aid in distinguishing the underlying disease process
- There is no definite treatment protocol for addressing extrafoveal PED; therefore, co-management with a retinal specialist and close follow-up intervals are important in the prevention of vision loss in patients with these retinal lesions
- Intraretinal fluid (IRF) and SRF respond more effectively than PED to anti-VEGF therapies
Learning objectives
At the conclusion of this case discussion, participants should be able to:
- Name ocular conditions most commonly associated with PED
- Identify helpful ancillary tests that can be used to elucidate the underlying cause of PED
- Describe the pathophysiology of PED formation in the retina
- Understand the prognosis of extrafoveal PED and associated findings and how these characteristics determine treatment strategies
- Comprehend how anti-VEGF therapies work, as well as their relative effectiveness compared with other treatment options
Discussion questions
- What range of symptoms do patients with PED experience?
- Which ocular and systemic conditions are most commonly associated with PED?
- What is the relationship between PED formation and choroidal neovascular membrane (CNVM)?
- What other retinal findings might be seen in patients with PED and how do these usually impact visual prognosis?
- Under what conditions would anti-VEGF drugs be indicated for patients with PED?
Assessment of learning objectives
The following ideas are designed to aid the educator in effectively teaching this material and assessing students’ learning progress and knowledge.
Students’ mastery of retinal anatomy and physiology should be assessed, as a thorough understanding of retinal layers is necessary for accurate OCT interpretation. Using OCT images with different examples of IRF, SRF and PED in the form of a slideshow quiz is one possible evaluation method. Having students draw a cross section of the fundus with appropriate labels and corresponding descriptions of the role of each anatomical part would also be an effective way to measure understanding of retinal anatomy.
Slide quizzes containing images of different PED subtypes, whether in the form of OCT, fundus photographs, fluorescein angiography (FA) or indocyanine green angiography (ICGA), would be useful for evaluating fourth-year students’ ability to analyze results of these diagnostic tests and to generate a list of reasonable differential diagnoses based on what the images reveal. After a set of differentials is formed, students should be able to identify the concomitant ocular and systemic manifestations a patient may exhibit for each differential diagnosis.
Finally, assessing students’ ability to formulate an effective treatment and management plan can be accomplished by written and/or oral exercises For example, students can document their assessment and plan in a format similar to those in clinical charts, or organize a doctor-patient role-play during which they would provide their patients with exam findings, treatment plans and follow-up intervals.
Discussion
Classification and pathophysiology
PED, which occurs when the RPE and Bruch’s membrane separate, can be classified as turbid, hemorrhagic and serous. Additional subtypes based on differing classification systems and underlying pathophysiology include drusenoid, pseudovitelleform, fibrovascular and vascular.8,9 Currently, the pathological process behind PED is not well-defined and involves myriad pathways.10 It has been proposed that detachment of the RPE from Bruch’s membrane occurs when normal retinochoroidal flow, which is maintained by a net fluid and pressure gradient traveling from the vitreous towards the outer retina, is disrupted. Disturbance of normal chorioretinal osmotic gradients can occur when the choriocapillaris becomes hyperpermeable, as in cases of CSR, or when neovascular vessels leak, as in the setting of wet AMD. Hemidesmosome attachments between the RPE and its basement membrane may also become compromised when hydraulic forces in the eye are altered, further weakening the structural bond between these layers.4
While PED is non-specific in nature, it is most commonly observed in wet AMD.4,9 Serous PED, in contrast, has been hypothesized to be a variant of CSR, though several PED subtypes can exist simultaneously and are termed “mixed PED.”8,11 PTSD patients may be more prone to developing CSR due to increased levels of norepinephrine in their systems. If these individuals lack proper coping skills and address depression and anxiety with excessive alcohol intake, they may become even more susceptible to retinal disease as multiple, possibly synergistic risk factors would be at play in their ocular and systemic health. The patient in this case was asymptomatic, but many individuals with similar PED presentations complain of blur, metamorphopsia,and shadows or darkening of vision.4
Diagnostic testing
OCT is an effective tool for characterizing different PED subtypes. On OCT, serous PED appears optically empty and underlies a hyper-reflective band of RPE, whereas turbid and granular sub-RPE spaces usually indicate the presence of drusenoid and fibrovascular material.9,11 Fundus autofluorescence (FAF) is also useful for classifying and delineating PED lesions. The serous type features a hyperfluorescent lesion with a hypofluorescent border, while drusenoid PED are either isofluorescent or hyperfluorescent and may be seen with irregular, hyperfluorescent patches corresponding to pigmentary migration.12 Although OCT and FAF are non-invasive techniques that have been shown to outperform FA in many cases, determining a definitive etiology and prognosis for PED are still successfully achieved with FA and ICGA ― gold standard diagnostic tests for cases involving questionable subsensory and sub-RPE fluid.9,12 In the case of our patient, however, IGCA was not acquired because the retina specialist deemed the PEDs low-risk for spreading or causing visual degradation, and the localized pocket of SRF was being addressed with anti-VEGF injections.5,9,13
On FA, serous PED presents as a well-circumscribed area of progressive and evenly distributed hyperfluorescent pooling, whereas slow, irregular filling on FA is consistent with fibrovascular PED.4,9,12 Due to blockage of fluorescent signal from the choroid in cases of drusenoid PED, ICGA scans appear hypofluorescent during the entire transit time. ICGA images of vascular PED show an area of hyperfluorescence, referred to as a “hot spot,” which is suggestive of an underlying neovascular membrane. ICGA scans of serous PED are characterized by mild hypofluorescence in late stages due to obstruction of choroidal signals.4
Differential diagnosis
A lack of concomitant ocular findings in our patient led to a working diagnosis of idiopathic, bilateral, multifocal retinal PEDs. AMD, while on the list of differential diagnoses given its common association with PED, was less likely due to the absence of central drusen and pigmentary mottling found in earlier stages of this progressive condition. PCV, which has been proposed to be a subset of AMD and is often associated with multifocal PED secondary to the formation of choroidal aneurysms, typically presents with additional findings including orange bulb-like nodules, exudates and submacular retinal hemorrhages, none of which this patient exhibited.5,14
Hypertensive choroidopathy, another potential etiology of PED formation, tends to occur in younger patients with histories of sudden spikes in blood pressure related to life-threatening conditions such as preeclampsia and renal hypertension.9,15 Accompanying ocular findings include arteriole narrowing, retinal hemorrhages, cotton wool spots, optic disc edema, Elschnig spots and Siegrist streaks.15 Considering this patient’s history of controlled hypertension, age and otherwise normal ocular exam, hypertensive choroidopathy was lower on the list of differentials.
Interestingly, PTSD, a mental health condition stemming from traumatic life experiences that can lead to recurrent panic attacks, prolonged anxiety and depression16 as well as alcohol abuse ― both conditions this patient suffered from ― have been suspected etiologies in some reports of multifocal PED. A study published by Roberts and Haine described observations of multifocal PED possessing similar features to CSR in psychologically distressed patients.17 Lumbroso et al. observed that serous PED, which is consistent with this patient’s retinal profile, presents in conjunction with CSR more frequently than other forms of PED, such as multilobular, granular or drusenoid lesions on OCT ― findings more commonly seen in AMD.11 Pan et al. established that endogenous levels of the catecholamine norepinephrine, which plays a role in the CSR disease process, are elevated in PTSD patients compared with psychiatrically healthy patients.18 Other studies have demonstrated that individuals with poor stress coping mechanisms, including alcohol abuse, are also more likely to exhibit CSR.18 Regarding the effects of alcohol, Gkotsi et al. introduced a rare case of bilateral multifocal CSR in a patient with alcohol liver disease, hypothesizing that a damaged liver alters fluid homeostasis and choroidal autoregulation while increasing oxidative stress on retinal vasculature.19
Although the precise cause of bilateral multifocal PEDs in our patient was unclear and labeled idiopathic in nature, his medical health history of PTSD and alcohol abuse led us to conjecture that a pathophysiological process similar to that of CSR was at play in the alteration of his retinal anatomy and integrity.
Treatment and prognosis
Elucidation of the underlying cause of PED can aid in determining an appropriate treatment plan for patients. If patients are asymptomatic and do not present with complaints characteristic of underlying systemic conditions such as VKH, and if there is lack of co-existing retinal findings, such as those pathognomonic for AMD, PCV and hypertensive choroidopathy, intervention may not be warranted.2,8 Results of the Prospective OCT Imaging of Patients with Neovascular AMD Treated with Intra-Ocular Lucentis (PrONTO) study showed that PED does not readily respond to anti-VEGF injections when compared with cystic IRF or SRF. It also does not act as a limiting factor in the final visual outcome of patients with neovascular AMD.20,21 Therefore, observation is a valid management option for PED patients who do not present with neurosensory retinal edema.
Conversely, the PrONTO study confirmed that resolution of IRF or edema within the retinal layers, and SRF or fluid between the neurosensory retina and the RPE, did correlate with improvement in BCVA in study subjects.20,21 This understanding prompts retinal specialists to recommend anti-VEGF therapy in cases of PED with associated SRF, as was observed in the right eye of the patient in this case. The presence of SRF indicates that there has been breakdown of the outer blood-retinal barrier due to RPE decompensation, which warrants anti-VEGF therapy to prevent risk of vision loss and metamorphopsia.4,8 If a PED is suspected to be secondary to another ocular or systemic condition, appropriate testing, referrals and therapies should be initiated in a timely manner.
Anti-VEGF therapy acts by inhibiting the angiogenic pathway triggered by vascular endothelial growth factors, cell mediators required for new blood vessel formation. Overproduction of VEGF can lead to pathological neovascularization and hyperpermeability of vessels, resulting in leakage and subsequent retinal edema in an ocular setting.10,22 By mitigating this process with anti-VEGF agents, neovascularization and its resulting complications can be controlled. This line of therapy has been shown to be more effective than verteporfin photodynamic therapy (PDT) in improving final BCVA.10,22 Kumar et al. found that aflibercept was superior to ranibizumab in non-responsive patients.23 Refractory cases of PED in the context of long term anti-VEGF treatment, however, often need to be managed with adjunctive PDT, which selectively kills unhealthy blood vessels through laser activation of an injected photosensitive drug with an affinity for vascular endothelial cells. Laser application post-verteporfin injection leads to inflammation and thrombosis of leaky vessels, halting their pathologic activity.6,24
Visual prognosis in extrafoveal cases of PED tends to be positive.2 Acute presentations that self-resolve or respond well to therapy result in little vision loss. Chronic and refractory cases that lead to fibrotic changes in the retina (especially subfoveally) and those associated with IRF and SRF, however, can impact visual acuity, sometimes permanently. Closely observing these patients is crucial for the preservation of their sight and quality of life.
Conclusion
Bilateral extrafoveal presentations of PED, as seen in this case, are rare. AMD, PCV, CSR, hypertensive choroidopathy and choroidal infection and inflammation are among differential diagnoses to consider. Due to the non-specific nature of PED, it is important to consider the patient’s overall health and medications as well as ocular and systemic histories to arrive at an accurate diagnosis. In this patient’s case, it was hypothesized that PTSD and alcohol abuse may have played a role in the pathogenesis of the atypical PED lesions noted during the initial exam. This theory, however, is speculative given the amount of research that is still required to clarify the disease process of multifocal PED. FA and IGCA were not obtained during this patient encounter, but the retina specialist elected to follow a treatment plan involving anti-VEGF injections and short follow-up intervals due to concomitant SRF findings. Serous PED that spares the fovea and has no detectable CNVM can often be observed without treatment.8,21
References
- Nagesha CK, Megbelayin EO. Bilateral multifocal retinal pigment epithelium detachment and pachychoroidopathy. Indian J Ophthalmol. 2018;66(4):570-1.
- Dave VP, Pappuru RR. Idiopathic multiple retinal pigment epithelial detachments – a case report. Saudi J Ophthalmol. 2015 Oct-Dec;29(4):295-7.
- Pasyechnikova NV, Naumenko VA, Korol AR, Zadorozhnyy OS, Kustrin TB, Nasinnyk IO. Serous pigment epithelium detachment associated with age-related macular degeneration: a possible treatment approach. Med Hypothesis Discov Innov Ophthalmol. Winter 2012;1(4):72-5.
- Pigment Epithelial Detachment [Internet]. EyeWiki, American Academy of Ophthalmology [cited 2020 Apr 10]. Available from: https://eyewiki.aao.org/Pigment_Epithelial_Detachment.
- Agange N. Polypoidal Choroidal Vasculopathy [Internet]. EyeWiki, American Academy of Ophthalmology [cited 2020Feb]. Available from: https://eyewiki.aao.org/Polypoidal_Choroidal_Vasculopathy.
- Lommatzsch A, Heimes B, Gutfleisch M, Spital G, Zeimer M, Pauleikhoff D. Serous pigment epithelial detachment in age-related macular degeneration: comparison of different treatments. Eye. 2009 Dec;23(12):2163-8.
- Yehuda R. Post-traumatic stress disorder. N Engl J Med. 2002 Jan 10;346(2):108-14.
- Altintas AGK, Ilhan C. Treatment of Retinal Pigment Epithelial Detachment. Int J Clin Exp Ophthalmol. 2018;2:008-014.
- Hashas ASK, Göktas A, Atas M. Isolated multiple pigment epithelial detachments with unknown cause. Case Rep Ophthalmol Med. 2014;2014:289107.
- Nattis A, Josephberg R. Update on the Diagnosis and Treatment of CSC, Retinal Physician, Oct 1, 2015 [Internet]. Doylestown, PA: PentaVision Media; c2021 [cited 2020 Jun 18]. Available from: https://www.retinalphysician.com/issues/2015/october-2015/update-on-the-diagnosis-and-treatment-of-csc.
- Lumbroso B, Savastano MC, Rispoli M, Balestrazzi A, Savastano A, Balestrazzi E. Morphologic differences, according to etiology, in pigment epithelial detachments by means of en face optical coherence tomography. Retina. 2011;31(3):553-8.
- Amaro MH, Motta MMDS, Mitre J, Junior JJN, Leite A, Aihara T. Drusenoid retinal pigment epithelium detachments. Rev Bras Oftalmol. 2015 Oct;74(5):325-8.
- Arias L. Treatment of retinal pigment epithelial detachment with antiangiogenic therapy. Clin Ophthalmol. 2010 Apr 26;4:369-374.
- Boughton B. Update on Polypoidal Choroidal Vasculopathy [Internet]. American Academy of Ophthalmology, EyeNet Magazine. 2012 Dec [cited 2020 Apr 8]. Available from: https://www.aao.org/eyenet/article/update-on-polypoidal-choroidal-vasculopathy.
- Richwine K, Mah D, Mercado KJ. Hypertensive choroidopathy: a teaching case report. Optometric Education. Winter-Spring 2018;43(2).
- Post-Traumatic Stress Disorder [Internet]. National Institute of Mental Health. U.S. Department of Health and Human Services; 2019 [cited 2020 Jun 16]. Available from: https://www.nimh.nih.gov/health/topics/post-traumatic-stress-disorder-ptsd/index.shtml.
- Roberts DK, Haine CL. Idiopathic multiple serous detachments of the retinal pigment epithelium: a report of two cases. J Am Optom Assoc. 1991 Jun;62(6):464-71.
- Pan X, Kaminga AC, Wen SW, Liu A. Catecholamines in post-traumatic stress disorder: a systematic review and meta-analysis. Front Mol Neurosci. 2018 Dec 4;11:450.
- Gkotsi D, Gupta M, Lascaratos G, Syrogiannis A, Dhillon B. Alcoholic liver disease and bilateral multifocal central serous retinopathy: a case report. J Med Case Rep. 2013 Feb 13;7(43).
- Lalwani G, Fung AE, Michels S, Venkatraman AS, Puliafito CA, Rosenfeld PJ. Optical coherence tomography findings in a variable-dosing regimen with ranibizumab (LucentisTM): the PrONTO Study. Invest Ophthalmol Vis Sci. 2006; 47(13):2147.
- Todorich B, Pepple K, Mruthyunjaya P. Treatment of Pigment Epithelial Detachments in Age-Related Macular Degeneration, Retinal Physician, Nov 1, 2012 [Internet]. Doylestown, PA: PentaVision Media [cited 2020 Jun17]. Available from: https://www.retinalphysician.com/issues/2012/nov-dec/treatment-of-pigment-epithelial-detachments-in-age.
- Gao Y, Yu T, Zhang Y, Dang G. Anti-VEGF monotherapy versus photodynamic therapy and anti-VEGF combination treatment for neovascular age-related macular degeneration: a meta-analysis. Invest Ophthalmol Vis Sci. 2018 Aug 1;59(10):4307-17.
- Kumar N, Marsiglia M, Mrejen S, et al. Visual and anatomical outcomes of intravitreal aflibercept in eyes with persistent subfoveal fluid despite previous treatments with ranibizumab in patients with neovascular age-related macular degeneration. Retina. 2013 Sep;33(8):1605-12.
- Bashshur ZF, Schakal A, Hamam RN, El Haibi CP, Jaafar RF, Noureddin BN. Intravitreal bevacizumab vs verteporfin photodynamic therapy for neovascular age-related macular degeneration. Arch Ophthalmol. 2007;125(10):1357-61.






