PEER REVIEWED
Butterfly-Shaped Pattern Dystrophy:
an Observational Teaching Case Report
Hyoung I. Lho, OD, An T. Hoang, OD, Erika M. Perzan, OD, FAAO, ABCMO, and Kelsey D. Smith, OD
Abstract
Butterfly-shaped pattern dystrophy (BSPD) is one of five subtypes of macular pattern dystrophy. BSPD is a heterogenous macular condition affecting the retinal pigment epithelium layer of the macula. This paper presents an observational teaching case report on BSPD to the Doctor of Optometry involved in clinic-based training of fourth-year optometric interns and externs and residents. Practical knowledge of BSPD is relevant to the optometrist because BSPD is a rarely encountered type of macular disease that can often be managed appropriately with observation in an optometric setting. Trainees should be instructed how to differentiate retinal findings that require referral and those that usually do not. The case report reviews the natural history of stable BSPD throughout a 12-year period. It also reviews practical applications for teaching, utilization of readily available technologies, genetic test recommendations and appropriate management.
Key Words: butterfly-shaped pattern dystrophy, pattern dystrophy of macula, pigmentary retinal dystrophy (H35.52)
Background
This teaching case report involves one of five pattern dystrophies of the retinal pigment epithelium (RPE), which share several characteristics. Typically, they are inherited in autosomal dominant fashion, heterogenous in presentation, associated with little or no vision loss, and characterized by lipofuscin deposits in the RPE. They can show variability with time, and fluorescein angiography can help distinguish the subtypes.1-5 The five pattern dystrophy subtypes of the macula are: butterfly-shaped pattern dystrophy (BPSD), vitelliform dystrophy of the fovea, fundus flavimaculatus, reticular dystrophy of the pigment epithelium and fundus pulverulentus.2,3,4 Signs of these five pattern dystrophies may be evident in the first decade of life,5 and most patients are asymptomatic into middle age.2
This case discusses a stable, bilateral presentation of BSPD. The patient is a 68-year-old African American female who has been a Veterans Health Administration (VHA) eye clinic patient for 12 years. BSPD is a rare, bilateral condition characterized by a buildup of yellow, orange or gray pigmented material in a butterfly-shaped pattern within the RPE of the macula.1,6,7 The butterfly shape may also be described as linear, stellate, branching or shaped like a letter.7,8
BSPD has a rare incidence and prevalence per a 1991 study. The study spanned 18 years in Northern France and included approximately 4 million people. Researchers found three patients with BSPD out of 1,660 patients known to have inherited retinal dystrophies. This gives a cumulative incidence of 0.000415% of residents having any inherited retinal dystrophy in that time period. (Cumulative incidence = number of events/population size.) Additionally, this gives a prevalence for BSPD of 0.00000075% among all of the study subjects and 0.001807%9 among the 1,660 study subjects with a pattern dystrophy. (Prevalence = number of cases/population size.)
Purpose
The intended audience for this teaching case report is the Doctor of Optometry involved in training fourth-year interns and externs and residents in a clinical or academic setting. The case provides an example of how to approach a rare diagnosis with a trainee, how to gather the pertinent objective data to monitor the condition, when to refer the case for co-management with a retina specialist and how to educate the patient about the impact of the diagnosis on the patient and his or her family members.
Student Discussion Guide
Case description
A 68-year-old African American female presented for a routine comprehensive eye exam in 2019. Previously, in 2007 and 2010, the patient had undergone teleretinal screening. Her first known eye exam at a VHA facility was in 2012. Subsequent exams occurred in 2014, 2016, 2017, 2018 and 2019.
At the 2019 eye exam, the patient reported no ocular or visual complaints. Known family ocular history was unremarkable. The patient’s ocular history included moderate dry eye syndrome with blepharitis in both eyes, chronic allergic conjunctivitis and uncontrolled type 2 diabetes mellitus (T2DM) that was diagnosed in 2007. The patient had been taking insulin since 2015, and there was no known retinopathy in either eye. BSPD in both eyes had been originally diagnosed as “pattern dystrophy” in 2007 via teleretinal imaging. The patient’s ocular history also included moderate hypertensive retinopathy in both eyes, refractive error in both eyes and nuclear cataracts in both eyes. Medical history included benign hypertensive heart disease and chronic renal disease stage 3, T2DM on insulin, multiple-type hyperlipidemia, obesity and essential hypertension. Known drug allergies included codeine, influenza [vaccine] and metformin. Active medications included amlodipine 10-mg tablet QD for blood pressure, carboxymethylcellulose 1% (Refresh Liquigel) 1gtt in each eye TID for dry eyes, cholecalciferol (vitamin D3) 1,000-IU tablet QD for vitamin D supplementation, glimepiride 4-mg tablet every morning with food for diabetes, hydrochlorothiazide one half of a 25-mg tablet QD as needed for blood pressure, human insulin 100 unit/mL injection 35 units subcutaneously QD for diabetes, losartan one half of a 100-mg tablet QD for blood pressure, and simvastatin 80-mg tablet QHS for cholesterol.
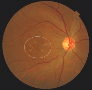
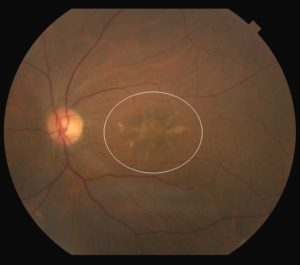
Also at the 2019 visit, the patient’s best-corrected visual acuity was 20/25- in the right eye and 20/25+ in the left eye with near visual acuity of 20/20 (both eyes). All entrance tests and anterior segment slit lamp examination findings were stable, unremarkable and age-appropriate in both eyes. Specific tests performed included extraocular muscle motilities, confrontation visual fields, pupil testing, manifest refraction and dilated fundoscopic examination with 20D and 66D lenses. Amsler grid testing with best near correction was full in each eye. Posterior segment examination with dilation showed mild arterial/venous (A/V) crossing changes with attenuated vessels and an A/V ratio of 1:2 OU. The peripheral retina was unremarkable. Macular findings were stable and significant for the presence of BSPD in both eyes overlying a two-disc-diameter area. The appearance of the butterfly-shaped patterns in 2019 was stable when compared with the 2007 and 2017 retinal photographs (Figures 1-4). The quality of the 2019 photographs was degraded by media blur from the cataracts. Only the 2007 and 2017 retinal images are included in the case report.
![]() Figure 1. 2007: Mydriatic fundus photography of the posterior pole of the right eye, including optic nerve, macula and major retinal vessels. The area of butterfly-shaped pattern dystrophy is circled. |
![]() Figure 2. 2007: Mydriatic fundus photography of the posterior pole of the left eye, including optic nerve, macula and major retinal vessels. The area of butterfly-shaped pattern dystrophy is circled. |
![]() Figure 3. 2017: Mydriatic fundus photography of the posterior pole of the right eye, including optic nerve, macula and major retinal vessels. The area of butterfly-shaped pattern dystrophy is circled. |
![]() Figure 4. 2017: Mydriatic fundus photography of the posterior pole of the left eye, including optic nerve, macula and major retinal vessels. The area of butterfly-shaped pattern dystrophy is circled. |
Reliable optical coherence tomography (OCT) macular cube 512 x 128 and HD five-line raster scans [Zeiss Cirrus 400 spectral domain (SD) OCT] obtained in 2019 showed intact foveal contours in both eyes with no subretinal fluid (Figures 5-8). The scans were remarkable for macular thinning and showed subtle subfoveal disruption in both eyes with ellipsoid zone loss. Central subfield thickness measured 204 µm OD and within average ranges at 223 µm OS; cube volume was decreased at 8.7 mm3 OD and 8.4 mm3 OS. Cube average thickness was decreased at 245 µm OD and 240 µm OS.
![]() Figure 5. 2019: OCT scan (Zeiss Cirrus SD-OCT 400) of the right eye showing macular thinning and volume loss. |
![]() Figure 6. 2019: OCT scan (Zeiss Cirrus SD-OCT 400) of the left eye showing macular thinning and volume loss. |
![]() Figure 7. 2019: OCT five-line raster scan (Zeiss Cirrus SD-OCT 400) through the fovea of the right eye showing loss of ellipsoid zone. |
![]() Figure 8. 2019: OCT five-line raster scan (Zeiss Cirrus SD-OCT 400) through the fovea of the left eye showing loss of ellipsoid zone. |
The patient was scheduled to return in one year for a comprehensive exam with OCT imaging of the maculae and fundus photographs of both eyes. The plan included continued progression analysis of macular thickness via OCT scans and to obtain baseline fundus autofluorescence imaging. Obtaining an electroretinogram (ERG) and electro-oculogram (EOG) could also be illustrative. In pattern dystrophies, expected findings would be abnormal pattern ERG, normal flash ERG and abnormal EOG.10
The findings of stable hypertensive retinopathy and stable BSPD were discussed with the patient. She was counseled on lifestyle management of diabetes, cardiovascular risk factors and hypertension. The importance of avoiding smoking, maintaining a heart healthy diet and managing all systemic health conditions per the advice of her primary care provider were discussed.
The patient was educated that no treatment for BSPD is currently known and she would be notified if that were to change. She was instructed to routinely check her vision at home with the Amsler grid and why it is important. The patient verbally confirmed that she should immediately contact the eye clinic if grid changes were noted. Patient education also included a discussion on possible treatment options if her condition should progress. She was instructed to inform her immediate family members of the diagnosis so they could schedule routine comprehensive eye exams and determine whether they had a retinal pattern dystrophy.
Educator’s Guide
Learning objectives
- Recognize macular pattern dystrophies (BSPD, vitelliform dystrophy of the fovea, fundus flavimaculatus, reticular dystrophy of the pigment epithelium and fundus pulverulentus)
- Determine appropriate tools for diagnosis of macular pattern dystrophies
- Diagnose the subset of BSPD
- Understand appropriate management for the condition
- Understand treatment options if complications develop
- Deliver patient education regarding management options and prognosis
- Deliver patient education regarding genetic testing and family counseling
Key concepts
- Difference between common macular diseases and the rare pattern dystrophies
- How the appearance of BSPD is different from the appearance of the other macula pattern dystrophies
- Recommending ancillary testing to support the management of pattern dystrophy
- Delivering clear education to the patient regarding diagnosis, treatment and management of BSPD
Education Guidelines
Setting: academic classroom or clinical discussion after patient care
1. Focus on the knowledge, facts, and concepts required for critical review of the case:
a. Is this a typical presentation of BSPD?
b. Can the patient make lifestyle changes to assist in management of BSPD?
c. How can you differentiate BSPD from the other pattern dystrophies of the macula?
d. What is an appropriate patient management plan?
2. Differential diagnosis:
a. What differential diagnoses can be considered based on the findings of the eye exam?
b. What is the purpose of ancillary testing in pattern dystrophy?
c. What knowledge gaps did this case expose for you and how will you bridge those gaps?
3. Disease management:
a. What are the benefits of closely monitoring this patient?
b. What are the drawbacks of closely monitoring this patient?
4. Patient education and communication:
a. How do you educate the patient on the diagnosis?
b. How do you educate the patient on the prognosis?
c. What sequelae do you advise the patient to expect?
d. How do you discuss genetic testing with the patient?
e. How do you deliver these discussions in an empathetic manner?
5. Critical thinking:
a. Could patient adherence to follow-up be a complication in this case?
b. Could patient adherence to home monitoring be a challenge in this case?
c. Are you prepared now to manage a diagnosis of pattern dystrophy?
Learning assessment
1. Instructor guides a case discussion to ensure all discussion questions are considered
2. Evaluate the trainees’ knowledge base by fostering discussion of the OCT scans, retinal photos, Amsler grid and pertinent exam findings
3. Evaluate knowledge base by having the trainees discuss possible differential diagnoses
4. Evaluate clinical-thinking skills with a literature review and follow-up discussion (The literature review can be conducted informally by the trainees or formally with the intent to produce a case study paper, case study manuscript or poster)
Discussion
Clinical presentation and differential diagnosis
Pattern dystrophies of the RPE tend to share several characteristics. Typically, they are inherited in autosomal dominant fashion, heterogenous in presentation, associated with little or no vision loss, and characterized by lipofuscin deposits in the RPE. They can show variability with time, and fluorescein angiography can help distinguish the subtypes.1-5 Signs of the macular pattern dystrophies may be evident in the first decade of life,5 and most patients are asymptomatic into middle age.2 The physical appearance of pattern dystrophies and BSPD can progress with time, appear as different patterns between eyes, and display different patterns among family members.7,8 The pattern may vary in presentation at subsequent exams and change in appearance to more closely resemble a different pattern dystrophy of the macula. Family members of patients with BSPD who are initially free of clinical signs of the condition may develop a pattern dystrophy over time.4,7
Most reports of BSPD in the literature emphasize its rare occurrence and typically benign natural course. However, reports of geographic atrophy and choroidal neovascular membrane (CNVM) have been published.2,13,14 Conversion to CNVM occurs infrequently.13,14 In a case of BSPD with CNVM reported in 2000, lesions spontaneously involuted and without treatment regressed to a focal, fibrotic scar with a favorable visual prognosis.13 Recently, CNVM in BSPD was reported to have a therapeutic response to anti-vascular endothelial growth factor (anti-VEGF) intravitreal injections.14
Differential diagnosis for BSPD includes the four other pattern dystrophies, which are Best’s vitelliform dystrophy of the fovea, Stargardt’s macular dystrophy/fundus flavimaculatus, reticular dystrophy of the pigment epithelium and fundus pulverulentus. Additional differential diagnoses include central areolar choroidal dystrophy, North Carolina macular dystrophy, progressive bifocal chorioretinal atrophy, Sorbsy fundus dystrophy and dominant macular dystrophy.2,3,4,6,10,15,16 These conditions can all involve the macular region, and while they have similarities with BSPD, they can be differentiated by their unique presentations.
Writing in 2013, Hannan et al. provided a useful reference for the OCT appearance of three different pattern dystrophies, including BSPD. In their BSPD cases, they described SD-OCT as revealing disruptions in the ellipsoid zone of the IS/OS (inner segment/outer segment) junction.17 Writing in 2017, Kumar et al. described loss of the photoreceptor integrity line in the ellipsoid layer in the macular region.18
Currently there is no treatment for stable pattern dystrophies, although nutritional supplements have been considered,10 and genetic therapies may be developed. The CTNNA1 gene has been implicated in inheritance per a 2016 study. The CTNNA1 gene, which encodes for alpha-catenin 1, is essential in maintaining RPE integrity and intercellular adhesion junctions. Defects in cadherin-based intercellular adhesion is believed to cause macular dystrophy.11 The HTRA1 single-nucleotide polymorphism was also associated with pattern dystrophy and age-related macular degeneration (AMD) per a 2012 study.12
Our patient was diagnosed in her mid-50s and remains asymptomatic at age 68. She fits within the age group and clinical presentation described in the literature. Symptoms and signs have remained stable and the presentation of BSPD in our patient has followed a benign course. She has no known family members with the condition. Our OCT findings showed loss of the ellipsoid zone consistent with what is described in the literature for similar cases.
Indicated tests
Patient at-home monitoring with the Amsler grid and in-clinic OCT imaging of the macula are useful tools in ruling out CNVM. For purposes of comparison, it is advised that the same OCT macular cube scan sets are run at subsequent visits. This enables a change analysis of the macular cube 512 x128 that can be compared from two different dates. Additional tests could include automated perimetry of the central visual field, ERG, EOG and genetic testing.10
Commonly available central visual field testing options include the Zeiss Humphrey Visual Field 10-2 of the central 10 degrees of vision and the Haag-Streit Octopus 900 M-Top Scan of the central 12 degrees of vision. Expected findings on electrophysiological tests are abnormal pattern ERG, normal flash ERG and abnormal EOG.10 Genetic testing can be discussed with the patient and pursued if he or she desires. BSPD was originally thought to have a complicated inheritance pattern. Autosomal dominant, autosomal recessive, and multi-factorial dominant inheritance had been proposed.5,6,15,16 More recent literature identified the heterozygous missense mutation of the CTNNA1 gene as a cause of BSPD in three families. It was also discovered that an analogous mutation of CTNNA1tvrm5 found in mice displayed similar phenotypic expression.11
Treatment of BSPD
There is no treatment for stable pattern dystrophies. The reviewed literature emphasized the usually benign natural course of BSPD. There have been reports of geographic atrophy development. CNVM development, which would require intervention by a retina specialist, has also been reported.2,13,14
Case management
Annual dilated examinations incorporating Amsler grid education, OCT imaging of the macula and serial retinal photos are indicated. Optometrists can provide further support and clinical guidance by ordering genetic testing and providing comprehensive eye exams to immediate family members. The eye doctor should deliver relevant knowledge about the patient’s condition with empathy at a level the patient can comprehend. Finally, the doctor should ensure the patient understands the need for regular comprehensive exams even if he or she is asymptomatic.
Conclusion
BSPD is a rare, bilateral condition that can be conservatively managed by the optometrist with annual dilated exams, OCT imaging of the macula and retinal photos. The patient participates in management with at-home Amsler grid monitoring. If CNVM develops, the patient should be promptly referred to a retina specialist to discuss treatment options, which may include anti-VEGF injections or careful monitoring. The diagnosis of BSPD is mainly clinical and can be supported with genetic testing if pursued by the patient or clinician. The patient should understand that this rare condition usually has minimal impact on vision, but severe outcomes can occur. The patient should be informed that BSPD can be inherited and that primary family members should be examined for signs of macular pattern dystrophy. The optometrist can educate the patient on how macular pattern dystrophy is different from AMD and other maculopathies. This topic is relevant in an optometric clinical training environment to guide the trainee in appropriate treatment and management decisions, specifically when to retain the patient and when to refer to a retina specialist for co-management.
References
- Zhang K, Garibaldi DC, Li Y, Green WR, Zack DJ. Butterfly-shaped pattern dystrophy: a genetic, clinical, and histopathological report. Arch Ophthalmol. 2002 Apr;120(4):485-90. doi: 10.1001/archopht.120.4.485. PMID: 11934323.
- Esteves F, Dolz-Marco R, Hernández-Martínez P, Díaz-Llopis M, Gallego-Pinazo R. Pattern dystrophy of the macula in a case of steinert disease. Case Rep Ophthalmol. 2013 Sep 21;4(3):129-33. doi: 10.1159/000355385. PMID: 24163680; PMCID: PMC3806677.
- Agarwal A. Gass’ atlas of macular diseases. 5th ed. Philadelphia(PA): Elsevier/Saunders; 2012. p239-436.
- Agarwal A, Patel P, Adkins T, Gass JD. Spectrum of pattern dystrophy in pseudoxanthoma elasticum. Arch Ophthalmol. 2005 Jul;123(7):923-8. doi: 10.1001/archopht.123.7.923. PMID: 16009832.
- Prensky JG, Bresnick GH. Butterfly-shaped macular dystrophy in four generations. Arch Ophthalmol. 1983 Aug;101(8):1198-203. doi: 10.1001/archopht.1983.01040020200005. PMID: 6882245.
- Deutman AF, van Blommestein JD, Henkes HE, Waardenburg PJ, Solleveld-van Driest E. Butterfly-shaped pigment dystrophy of the fovea. Arch Ophthalmol. 1970 May;83(5):558-69. doi: 10.1001/archopht.1970.00990030558006. PMID: 5442145.
- Watzke RC, Folk JC, Lang RM. Pattern dystrophy of the retinal pigment epithelium. Ophthalmology. 1982 Dec;89(12):1400-6. doi: 10.1016/s0161-6420(82)34632-1. PMID: 6984500.
- Gutman I, Walsh JB, Henkind P. Vitelliform macular dystrophy and butterfly-shaped epithelial dystrophy: a continuum? Br J Ophthalmol. 1982 Mar;66(3):170-3. doi: 10.1136/bjo.66.3.170. PMID: 7066268; PMCID: PMC1039746.
- Puech B, Kostrubiec B, Hache JC, François P. Epidémiologie et prévalence des principales dystrophies rétiniennes héréditaires dans le Nord de la France [Epidemiology and prevalence of hereditary retinal dystrophies in the Northern France]. J Fr Ophtalmol. 1991;14(3):153-64. French. PMID: 1918822.
- Michaelides M, Hunt DM, Moore AT. The genetics of inherited macular dystrophies. J Med Genet. 2003 Sep;40(9):641-50. doi: 10.1136/jmg.40.9.641. PMID: 12960208; PMCID: PMC1735576.
- Saksens NT, Krebs MP, Schoenmaker-Koller FE, et al. Mutations in CTNNA1 cause butterfly-shaped pigment dystrophy and perturbed retinal pigment epithelium integrity. Nat Genet. 2016 Feb;48(2):144-51. doi: 10.1038/ng.3474. Epub 2015 Dec 21. PMID: 26691986; PMCID: PMC4787620.
- Jaouni T, Averbukh E, Burstyn-Cohen T, Grunin M, Banin E, Sharon D, Chowers I. Association of pattern dystrophy with an HTRA1 single-nucleotide polymorphism. Arch Ophthalmol. 2012 Aug;130(8):987-91. doi: 10.1001/archophthalmol.2012.1483. PMID: 22893068.
- Marano F, Deutman AF, Leys A, Aandekerk AL. Hereditary retinal dystrophies and choroidal neovascularization. Graefes Arch Clin Exp Ophthalmol. 2000 Sep;238(9):760-4. doi: 10.1007/s004170000186. PMID: 11045344.
- Empeslidis T, Vardarinos A, Deane J, Banerjee S. Intravitreal ranibizumab in the treatment of butterfly-shaped pattern dystrophy associated with choroidal neovascularization: a case report. Case Rep Ophthalmol. 2012 Jan;3(1):77-82. doi: 10.1159/000336987. Epub 2012 Feb 29. PMID: 22529806; PMCID: PMC3331880.
- Zhang K, Nguyen TH, Crandall A, Donoso LA. Genetic and molecular studies of macular dystrophies: recent developments. Surv Ophthalmol. 1995 Jul-Aug;40(1):51-61. doi: 10.1016/s0039-6257(95)80047-6. PMID: 8545803.
- Kempeneers HP, Dewachter A, Kempeneers GM. Pattern dystrophies of the retinal pigment epithelium. The study of three generations in a family. Doc Ophthalmol. 1990-1991;76(3):261-72. doi: 10.1007/BF00142685. PMID: 2103528.
- Hannan SR, de Salvo G, Stinghe A, Shawkat F, Lotery AJ. Common spectral domain OCT and electrophysiological findings in different pattern dystrophies. Br J Ophthalmol. 2013 May;97(5):605-10. doi: 10.1136/bjophthalmol-2011-301257. Epub 2013 Feb 20. PMID: 23426737.
- 18. Kumar V, Kumawat D. Multimodal imaging in a case of butterfly pattern dystrophy of retinal pigment epithelium. Int Ophthalmol. 2018 Apr;38(2):775-779. doi: 10.1007/s10792-017-0497-3. Epub 2017 Mar 15. PMID: 28299497.









